Здоровье

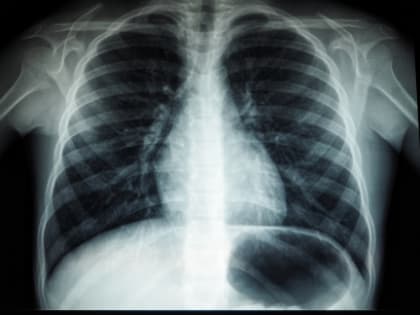
Тихий убийца: врач перечислил первые симптомы самого распространенного рака

Тихий убийца: врач перечислил первые симптомы самого распространенного рака

Медики назвали первые симптомы рака легкого, который занимает первое место в структуре заболеваемости и смертности среди всех онкологических заболеваний.

В Шигонском районе вспышка заболевания, которое может свести с ума

В Шигонском районе вспышка заболевания, которое может свести с ума

Из-за заболевания, которое способно сломать человеку психику, введен карантин в Шигонском районе.

В областном минздраве рассказали о рисках для иммунитета

В областном минздраве рассказали о рисках для иммунитета

Главный внештатный специалист министерства здравоохранения Самарской области по терапии, заведующий кафедрой факультетской терапии СамГМУ Олег Фатенков.

Умер в результате вскрытия: в российской больнице хирург забыл иглу в животе пациента

Умер в результате вскрытия: в российской больнице хирург забыл иглу в животе пациента

Российского врача-хирурга будут судить за смерть пациента.

Онколог предупредил об увеличивающих риск рака наследственных заболеваниях

Онколог предупредил об увеличивающих риск рака наследственных заболеваниях

Наследственные заболевания, такие как синдром Линча и синдром Ли-Фраумени,

Эксперт: "Для здоровья необходимы хорошее физическое развитие и спокойное психическое состояние" 

Эксперт: "Для здоровья необходимы хорошее физическое развитие и спокойное психическое состояние" 

Главный внештатный специалист министерства здравоохранения Самарской области по терапии, заведующий кафедрой факультетской терапии СамГМУ Олег Фатенков:

Могут ли собаки простудиться: ветеринар предупредил об опасности в холодное время года

Могут ли собаки простудиться: ветеринар предупредил об опасности в холодное время года

Ветеринар рассказал, болеют ли собаки простудными заболеваниями в холодный период года.

Зима близко. Стало известно, когда в Самарской области выпадет снег

Зима близко. Стало известно, когда в Самарской области выпадет снег

В ближайшие дни прогнозируется облачность с прояснениями, возможны небольшие осадки, сообщает ГУ МЧС по Самарской области со ссылкой на данные gismeteo.ru.

Путь к долголетию

Путь к долголетию

В рамках национального проекта «Демография» региональным отделением Союза пенсионеров России по Самарской области была осуществлена работа в рамках гранта «Путь к здоровому долголетию» при поддержке Фонда президентских г

Развенчан главный миф о вине: врачи прекращают пить и отговаривают пациентов

Развенчан главный миф о вине: врачи прекращают пить и отговаривают пациентов

Не верьте, что алкоголь защищает от инфаркта и инсульта, заявили ученые.